Estética Dentária

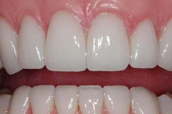
A Estética Dentária tem como finalidade a devolução e a melhoria da beleza natural do seu sorriso. Utiliza procedimentos conservadores, com o objetivo de devolver ao paciente um sorriso bonito e duradouro.

É uma subsespecialidade aglutinadora porquanto recorre às mais recentes técnicas de dentisteria conservadora, à prostondia fixa, e à cirurgia periodontal.

Recorre, às restaurações adesivas, às coroas e facetas em cerâmica, às modernas técnicas de branqueamento selectivo superficial, obtendo impressionantes resultados estéticos com o menor dano dos tecidos dentários e gengivais.

Agende já a sua consulta!

Preencha o formulário abaixo e entraremos em contacto durante o nosso horário de atendimento.