Casos Clínicos

Estudo Clínico: Agenesia dentária grave

Caso Clínico: Paciente com Agnéisia Dentária Grave Descrição: Paciente com 37 anos com mobilidade nos 4 dentes de leite (laterais e caninos superiores), com aparência estética anterior desfavorável que pretende uma melhoria do sorriso. A solução passou pela extração dos dentes decíduos, pela colocação de 4 implantes NobelBiocare ®, 4 pilares em Zircónio, pela preparação

Ler mais

Estudo Clínico: paciente com perda de 6 dentes

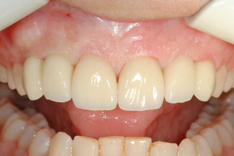
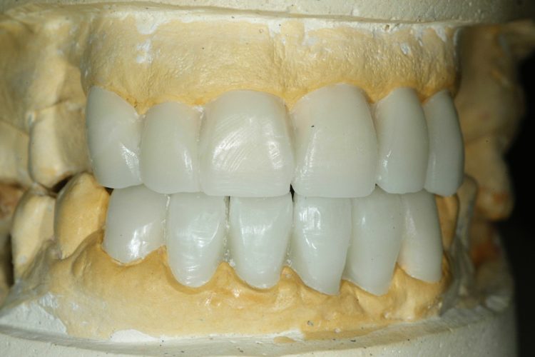
Caso Clínico:  Ponte metalo-cerâmica com 10 elementos sobre dentes e implantes em paciente com perda de 6 dentes no  maxilar superior Descrição: Paciente com 50 anos com perda de 6 dentes no maxilar superior descontente com a prótese removível que possui e com uma com aparência estética desfavorável que pretende uma reabilitação fixa funcional e uma

Ler mais

Estudo Clínico: Reabilitação total bimaxilar

Caso Clínico:  Reabilitação total bimaxilar com 10 implantes e 2 próteses híbridas Descrição: Paciente com 65 anos residente em Macau que pretende uma reabilitação total com implantes no prazo máximo de 8 meses. O tratamento constituíu na extração de todas as peças dentárias, colocação de 6 implantes no maxilar superior e 4 no maxilar inferior culminando

Ler mais

Estudo Clínico: Apinhamento Dentário Grave

Caso Clínico:  Apinhamento dentário grave bimaxilar Descrição: Paciente com 15 anos com apinhamento grave bimaxilar e destruição coronária de molares. Objetivos: correcção do apinhamento correção do perfil e suporte do lábio superior. Tratamento: Dentisteria dos molares, expansor palatino, extração de 2 pré-molares superiores e aparelho fixo bimaxilar durante 14 meses   Paciente: J. Sismeiro- 1975 Especialidade:

Ler mais

Estudo Clínico: Mordida cruzada antero-lateral

Caso Clínico:  Mordida cruzada antero-lateral e mau estado dentário Descrição: Paciente com 50 anos com perda de peças dentárias, mau estado da dentição e com uma mordida cruzada antero-lateral que pretende uma reabilitação rápida e económica. A solução passou pela extração dos dentes inviáveis e pela reabilitação através de 2 pontes metalocerâmicas e uma esquelética superior

Ler mais